Explore our collection of notes and presentations on various topics related to cardiac surgery and anaesthesia

click image to read

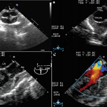
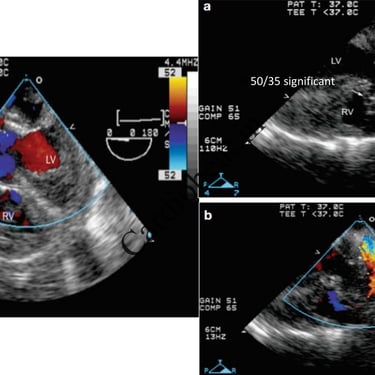
Truncus Arteriosus